本网讯(通讯员 郑光)近日,信息与管理科学教师刘亮亮在《Cell》子刊《iScience》期刊在线发表高水平的论文。该研究通过构建相关性图注意力网络(MLP-GAT)从组织病理学全玻片图像(WSI)中预测乳腺癌标志物-染色体不稳定性(CIN)的状态。这项研究建立起了癌症图像和标志物的关系,在减少人力物力消耗的同时,也为癌症宏观研究和微观研究提供了全新的思路和研究方法。
CIN是癌症的标志之一,它是肿瘤进化的主要驱动因素。CIN的状态不仅决定了肿瘤内的异质性和复杂性,而且对致癌物和治疗方法也有影响。但由于CIN检测的复杂性,活检、病理检测或病理实验所需的人力和财力消耗巨大。本研究通过构建相关图注意力网络(MLP-GAT),通过乳腺癌症WSI图像来预测CIN状态。本研究分析了乳腺癌症亚型与CIN的关系。并发现了CIN在WSI不同区域之间的差异,这为该疾病的研究提供了新的思路。
图1 相关性图注意力网络(MLP-GAT)模型

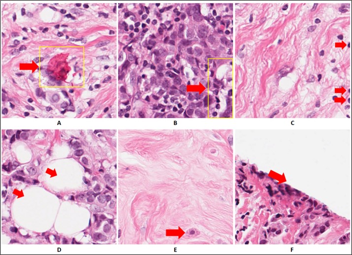
图2 细胞癌变差异可视化分析
河南农业大学拔尖人才刘亮亮为论文第一作者,刘合兵副教授为通讯作者,河南农业大学为第一单位。本研究得到了国家“十四五”重点研发项目(No.022YFD1400302)和河南省重点研究与推广项目(No.22210231085)的资助。
Cell期刊是与Science,Nature并列的世界三大主刊之一,Cell目前有四大子刊,分别是iScience、Joule、Matter和Chem,iScience涵盖了生命、物理、化学及环境科学领域的基础和跨学科领域的应用研究,收录了领域内最前沿的优秀论文。
编辑:郑光;签审:蔡镔;签发责任人:苏楠